Zirconium Crowns in Turkey
Transform Your Smile with Premium Zirconium Crowns
At Best Dental İstanbul, we specialize in delivering world-class dental care with a focus on zirconium crowns—a leading choice for patients seeking durable, natural-looking restorations. Located in the heart of Istanbul, our clinic combines advanced technology, expert care, and personalized service to ensure your dental journey is both effective and comfortable.
What Are Zirconium Crowns?
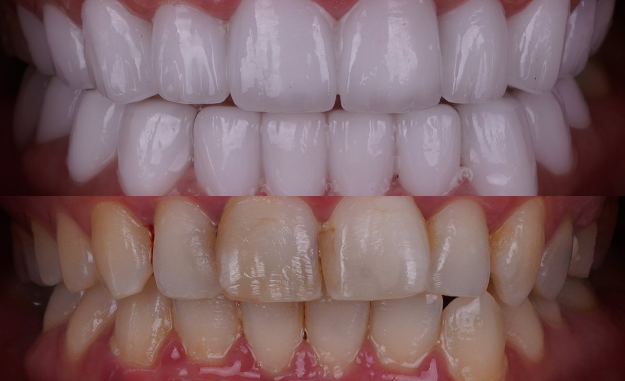
Zirconium crowns are high-strength dental restorations made from zirconium oxide, a biocompatible ceramic material known for its durability and aesthetic appeal. These crowns are designed to mimic the translucency and color of natural teeth, making them an excellent choice for both front and back teeth.
Why Choose Zirconium Crowns at Best Dental İstanbul?
✅ Advanced Technology
We utilize state-of-the-art CAD/CAM systems to design and fabricate zirconium crowns with precision, ensuring a perfect fit and optimal function.
✅ Experienced Specialists
Our team of skilled dentists and prosthodontists has extensive experience in cosmetic and restorative dentistry, specializing in zirconium crown applications.
✅ Personalized Care
We offer tailored treatment plans to meet your unique dental needs and aesthetic goals, ensuring a customized approach to your smile transformation.
✅ Comprehensive Services
From initial consultation to post-treatment care, we provide a full spectrum of services, including digital smile design, teeth whitening, and full-mouth rehabilitation.



The Benefits of Zirconium Crowns
Natural Appearance: Their tooth-like translucency ensures a seamless blend with natural teeth.
Durability: Highly resistant to wear and fracture, making them suitable for both anterior and posterior teeth.
Biocompatibility: Hypoallergenic properties reduce the risk of adverse reactions.
Minimal Tooth Reduction: Conservative preparation preserves more of your natural tooth structure.
Treatment Process at Best Dental İstanbul
Initial Consultation: Comprehensive examination and digital imaging to assess your dental health and discuss your goals.
Treatment Planning: Development of a personalized treatment plan, including digital smile design and material selection.
Preparation: Minimal tooth reduction to accommodate the zirconium crown, followed by digital impressions.
Fabrication: Using CAD/CAM technology, we design and mill your custom zirconium crown.
Fitting and Adjustment: The crown is placed, ensuring proper fit, bite, and aesthetics.
Finalization: The crown is permanently bonded, completing your smile transformation.
Cost of Zirconium Crowns in Turkey
Zirconium crowns in Turkey offer significant cost savings compared to many Western countries without compromising quality. For instance, a single zirconium crown typically costs around €200, and a full set of 20 crowns can range from €3,500 to €4,000, depending on the complexity and materials used.
Why Choose Dental Tourism in Istanbul?
High-Quality Care: Turkey boasts internationally accredited dental clinics offering top-tier services.
Cost-Effective: Significant savings on dental procedures compared to North America and Europe.
Comprehensive Packages: Many clinics, including Best Dental İstanbul, offer all-inclusive packages covering treatment, accommodation, and transportation.
Cultural Experience: Combine your dental treatment with a visit to Istanbul’s rich cultural heritage and vibrant city life.
Schedule Your Consultation
Ready to enhance your smile with zirconium crowns? Contact Best Dental İstanbul today to schedule your consultation and take the first step towards a confident, radiant smile.
FAQs about Zirconium Crowns in Turkey
Zirconium crowns are a popular choice for dental restorations due to their strength, aesthetics, and biocompatibility. Best Dental Istanbul, a reputable clinic in Turkey, offers comprehensive information about zirconium crowns. Below are some frequently asked questions (FAQs) based on their insights:
What is a zirconium crown?
A zirconium crown is a dental restoration made from zirconium dioxide, a high-strength ceramic material. These crowns are designed to cover a damaged or decayed tooth, restoring its shape, size, strength, and appearance. Zirconium crowns are known for their durability and natural-looking aesthetics.
What are the benefits of zirconium crowns?
Strength and Durability: Zirconium crowns are highly resistant to wear and fracture, making them suitable for both front and back teeth.
Aesthetic Appearance: The material closely mimics the translucency of natural teeth, providing a lifelike appearance.
Biocompatibility: Zirconium is well-tolerated by gum tissues and is less likely to cause allergic reactions.
Metal-Free: Unlike porcelain-fused-to-metal crowns, zirconium crowns do not have a metal base, eliminating the risk of a dark line at the gum line.
How much do zirconium crowns cost in Turkey?
The cost of zirconium crowns in Turkey is significantly lower than in many Western countries. Prices typically range from €120 to €200 per tooth, depending on factors such as the clinic’s location, the dentist’s experience, and the materials used. For example, Best Dental Istanbul offers competitive pricing for high-quality zirconium crowns.
How long do zirconium crowns last?
With proper care, zirconium crowns can last between 10 to 15 years. Maintaining good oral hygiene and regular dental check-ups can help extend their lifespan.
What is the procedure for getting zirconium crowns?
Consultation and Assessment: The dentist evaluates your oral health and discusses your treatment options.
Preparation: The affected tooth is reshaped to accommodate the crown.
Impression: A digital or physical impression of the prepared tooth is taken.
Fabrication: The crown is custom-made in a dental laboratory.
Placement: The crown is bonded to the prepared tooth, and adjustments are made for a proper fit.
Why choose Turkey for zirconium crowns?
Turkey has become a leading destination for dental tourism due to its combination of high-quality care and affordable prices. Clinics like Best Dental Istanbul offer state-of-the-art facilities, experienced dentists, and comprehensive packages that often include accommodation and transportation.
What brands of implants do you use?
We use only top international implant brands such as Nobel Biocare and Straumann, ensuring safety, durability, and high success rates.
Can I eat normally after the procedure?
Yes, but in the first weeks, we recommend a soft diet to support healing. Once the permanent bridge is placed, you can eat comfortably as you would with natural teeth.
Do you provide a guarantee?
Yes. Best Dental İstanbul offers a lifetime guarantee on implants and 5–10 years on prosthetic teeth, depending on the material chosen.
Why should I choose Turkey for All on 4 implants?
Affordable and transparent pricing
Experienced implantologists with international expertise
State-of-the-art technology and materials
Opportunity to combine treatment with a holiday in Istanbul