Veneers Turkey
Types, Cost, Process & What Patients Need to Know Before They BookDental veneers in Turkey are custom-made ceramic shells bonded to the front surface of teeth to improve colour, shape, length, and alignment. At Best Dental Istanbul, Dentist Emre Arslan completes most full-arch porcelain (E.max) veneer cases in 5 to 7 days across 2 to 3 clinic visits. The procedure uses digital smile design, shade matching, and conservative tooth preparation to produce natural-looking, long-lasting results. Peer-reviewed data from the Journal of Prosthetic Dentistry places the 10-year survival rate for porcelain veneers above 93% in specialist hands.
Table of Contents
Veneers in Turkey attract thousands of international patients every year because the combination of specialist cosmetic dentistry experience, modern digital workflow, and significantly shorter waiting times is difficult to replicate in many home countries. Whether the outcome satisfies depends less on geography and more on selecting the right dentist, the right type of veneer for the patient’s anatomy and goals, and managing expectations about what veneers can and cannot achieve. This guide covers everything a patient considering veneers in Istanbul needs to know in 2026 — from the difference between veneer types, to candidacy, to the step-by-step process, to what realistic results actually look like
“Every smile design I plan starts with the face — the lip line, the gum level, the tooth proportions. A veneer that looks perfect in isolation can look wrong on a real person. The result I am working towards is one that photographs beautifully and looks completely natural when the patient is simply talking.”
— Emre Arslan, Cosmetic and Restorative Dentist, Best Dental Istanbul
What Are Dental Veneers?
A dental veneer is a thin shell of porcelain or composite resin bonded permanently to the front surface of a tooth to change its colour, shape, length, or texture. Veneers correct concerns including intrinsic staining that cannot be treated with whitening, chipped or fractured enamel, minor misalignments, gaps between teeth, worn-down edges, and teeth that are naturally too small or irregularly shaped.
Veneers are one of the most commonly performed cosmetic dentistry procedures globally. According to the International Society of Aesthetic Dentistry (ISAD), demand for porcelain veneers has grown consistently over the past decade, driven by increased awareness of digital smile design and the expansion of international dental tourism. Istanbul in particular has become a leading destination for veneer treatment, with specialist cosmetic dentists performing high volumes of full-arch and partial cases for patients from across Europe, the UK, the Middle East, and North America.
“Every smile design I plan starts with the face — the lip line, the gum level, the tooth proportions. A veneer that looks perfect in isolation can look wrong on a real person. The result I am working towards is one that photographs beautifully and looks completely natural when the patient is simply talking.”
— Emre Arslan, Cosmetic and Restorative Dentist, Best Dental Istanbul
What Veneers Can Fix
Veneers can change the colour of teeth that do not respond to whitening — including tetracycline staining, fluorosis, and deep intrinsic discolouration. They can correct chipped, cracked, or worn edges. They can close diastemas (gaps) and improve the appearance of minor crowding or misalignment. They can standardise length and shape across a full arch for a more even, symmetrical smile.
What Veneers Cannot Fix
Veneers cannot correct significant orthodontic misalignment — crowding or rotation that would require movement of the tooth root. They are not appropriate for teeth with insufficient remaining enamel. They do not treat active gum disease, decay, or infection, which must be resolved before any cosmetic work is placed. Veneers cannot substitute for a night guard in patients with severe bruxism — though veneers can be successfully placed alongside one when the grinding is managed.
Veneers vs Crowns vs Bonding: Which Is Right for You?
| Treatment | Best For |
| Porcelain veneers | Colour, shape, size correction with conservative prep; long-term aesthetic result |
| Composite bonding | Minor chips, small gaps, budget-conscious cases; shorter lifespan |
| Dental crowns | Heavily restored teeth, root-canal-treated teeth, major structural damage |
| Orthodontics | Significant misalignment, bite issues; moves teeth rather than masks them |
| Teeth whitening | Extrinsic surface staining only; not effective on intrinsic discolouration |
Types of Veneers: Which One Is Right for You?
Veneer types are not interchangeable. The right choice depends on the degree of discolouration, the amount of preparation the teeth can tolerate, the patient’s bite, and the longevity required. Understanding the differences before booking prevents the most common source of patient disappointment — receiving the wrong type of veneer for their goals.
| Type | Thickness | Best For | Lifespan |
| E.max Porcelain | 0.3–0.7 mm | Natural-looking colour correction, full arch cases | 15–20+ years |
| Zirconia | 0.5–1.0 mm | Strength, darker underlying teeth, bruxism cases | 20+ years |
| Composite Resin | 0.5–1.0 mm | Minor corrections, single teeth, lower budget | 5–8 years |
| No-Prep / Minimal-Prep | 0.2–0.5 mm | Very little discolouration, selected anatomies only | 10–15 years |
E.max Porcelain Veneers
E.max (lithium disilicate) veneers are the standard of care for most full-arch aesthetic cases. The material offers exceptional translucency that mimics natural enamel, very high strength for a ceramic product, and the ability to be placed with minimal tooth reduction — often as little as 0.3 to 0.5 mm. E.max is the material of choice at Best Dental Istanbul for the majority of veneer cases. A 10-year prospective study published in the Journal of Prosthetic Dentistry reported a survival rate of 93.5% for E.max veneers placed under controlled conditions.
Zirconia Veneers
Zirconia veneers are the strongest ceramic option available. They are appropriate when the underlying teeth are heavily discoloured — because zirconia’s opacity blocks dark backgrounds more effectively than E.max — or when the patient has a history of bruxism that requires maximum ceramic strength. Zirconia is slightly more opaque than E.max, which can make the final result appear marginally less translucent. In well-selected cases, the difference is minimal and clinically acceptable.
Composite Resin Veneers
Composite veneers are built directly onto the tooth surface by the dentist in a single appointment, without laboratory fabrication. This makes them faster and less expensive, but they are also less durable — more prone to staining, chipping, and wear over time. They are appropriate for minor, limited corrections where the patient understands the trade-off between immediate availability and longevity. Composite veneers are not a substitute for porcelain when the case requires significant colour correction or long-term stability.
No-Prep and Minimal-Prep Veneers
No-prep veneers require little or no reduction of the tooth structure before bonding. They are marketed heavily online but are appropriate only in very specific anatomical situations — where the teeth are already small, slightly recessed, or where adding bulk will not create an unnatural appearance. In most standard adult mouths, placing no-prep veneers without any reduction produces teeth that look thick, protruding, or unnatural. Any dentist who recommends no-prep veneers for a full arch without first assessing tooth dimensions carefully should be questioned.
Am I a Good Candidate for Veneers?
A good veneer candidate is in stable oral health, has adequate enamel remaining on the teeth to be treated, has realistic expectations about what veneers can change, and is willing to commit to the maintenance routine that ceramic restorations require. The best outcomes happen when goals are specific, tooth anatomy is well evaluated, and the patient understands that veneers are a permanent change — not a reversible trial.
Ideal Candidate Profile
The ideal candidate has healthy gums, no active decay or infection, sufficient enamel for bonding, and clear aesthetic goals — whether that is colour correction, shape standardisation, gap closure, or a combination. Teeth should be structurally sound: veneers are a cosmetic layer, not a structural repair. Patients with good bite function, no severe clenching or grinding, and the willingness to attend follow-up visits make the most successful long-term cases.
Oral Health Requirements
Any active gum disease, decay, infection, or bone loss must be treated and stabilised before veneer preparation begins. Placing veneers over untreated disease does not hide it — it accelerates it. A responsible dentist will always complete a full clinical examination and, where indicated, request radiographs before any treatment planning proceeds. Patients should not be offered a treatment plan and price without a prior assessment of their existing oral health.
Enamel Availability
Veneers bond to enamel. Patients who have had previous extensive dental work, acid erosion, or heavy grinding may have insufficient enamel remaining for reliable bonding. In these cases, crowns may be the more appropriate option. The dentist should assess enamel thickness and remaining structure at the consultation and be transparent about what bonding surface is available.
Realistic Expectations Before Treatment
Veneers produce significant changes in smile appearance, but they operate within the limits of existing tooth structure and gum position. A gum-line that is uneven because of bone levels under the gum cannot be corrected by veneers alone — it requires a gum contouring procedure first. The shape of the lips and the position of the jaw both affect how veneers appear in the final smile. Realistic patients understand that veneers improve their smile, not someone else’s.
Who Is NOT a Good Candidate for Veneers?
Not every patient who enquires about veneers should have veneers, and a responsible dentist will be clear about this. Cases that should not proceed without additional treatment or further assessment include patients with active gum disease, deep decay, root canal infections, very severe bite problems that are unmanaged, severe bruxism without a management plan in place, or psychological distress that no cosmetic change will resolve. Proceeding in these cases causes harm, not improvement.
The Veneer Process Step by Step
Understanding the process before arriving removes the most common sources of anxiety. Veneer treatment is completed across multiple visits within your stay. The exact number of visits and the time required at each depends on the number of teeth being treated and the type of veneer selected.
Step 1: Consultation and Clinical Assessment
The consultation evaluates existing tooth colour, shape, gum levels, bite function, enamel availability, and the patient’s aesthetic goals. Photographs and, where indicated, radiographs are taken. The dentist should explain which teeth will be treated, which type of veneer is recommended and why, what preparation will involve, and what the realistic outcome will look like for that specific patient’s anatomy — not for a generic case.
Step 2: Digital Smile Design and Shade Selection
Digital smile design (DSD) uses photographs and software to preview the planned result before any tooth preparation takes place. This allows the patient to approve the proposed shape, size, and shade before the process is irreversible. Shade selection is done in natural light using a reference guide, taking into account the patient’s skin tone, hair colour, and personal preference. Most patients at Best Dental Istanbul begin with a DSD preview at the same appointment as the clinical assessment.
Step 3: Tooth Preparation
Tooth preparation involves removing a thin layer of enamel from the front surface of each tooth — typically 0.3 to 0.7 mm for E.max veneers. This creates space for the veneer shell so that the final restoration does not add unnatural bulk. The procedure is carried out under local anaesthesia and should cause no pain. Patients with significant dental anxiety should discuss this at the consultation
Step 4: Temporaries
After preparation, temporary veneers are placed to protect the prepared teeth.Temporaries are not the final result — the shade, translucency, and surface finish of the permanent porcelain will be different. Patients should report any concerns about size, shape, or bite during the temporary phase so adjustments can be incorporated before the final restorations are fabricated.
Step 5: Laboratory Fabrication
The permanent veneers are fabricated in a dental laboratory from the impressions or digital scans taken at the preparation visit. In Istanbul, high-quality laboratories working with specialist cosmetic dentists typically complete full-arch cases within 2 to 4 working days. The quality of the laboratory relationship is a significant factor in the final aesthetic result — cases where the dentist and laboratory have an established workflow produce more consistent outcomes.
Step 6: Final Fitting and Bonding
At the final visit, the temporary veneers are removed, the teeth are cleaned and conditioned, and the permanent veneers are tried in without bonding first. The patient and dentist review the colour, shape, and fit. Any minor shade or shape adjustments are made at this stage. Once approved, the veneers are bonded permanently using a resin cement. The bite is checked and adjusted if needed. The full bonding visit typically takes 2 to 4 hours depending on the number of teeth.
| Visit | What Happens | Approximate Duration |
| Day 1 | Consultation, clinical exam, X-rays, DSD, shade selection | 1.5–2 hours |
| Day 2–3 | Tooth preparation under local anaesthetic, impressions/scans, temporaries fitted | 2–4 hours |
| Day 4–5 | Laboratory fabrication (patient rests, sightseeing optional) | Patient free |
| Day 5–7 | Final fitting: try-in, approval, permanent bonding, bite check | 2–4 hours |
| Same day or Day 7 | Final check and clearance to travel | 30–45 minutes |
Why Do Patients Choose Turkey for Veneers?
Turkey is chosen by international patients for veneers because it combines specialist cosmetic dentistry experience, a modern digital workflow, and a structured international patient pathway — within a total cost that is significantly lower than comparable treatment in the UK, Germany, or the United States. The cost difference is driven by operating costs, laboratory costs, and currency exchange, not by a reduction in material quality or clinical standards. E.max porcelain used in Istanbul is the same Ivoclar material used in London, Vienna, or New York.
Turkey’s medical and dental tourism sector operates under formal government oversight. Clinics treating international patients are required to meet defined staffing, facility, and hygiene standards under the Turkish Ministry of Health’s Health Tourism Authorisation framework. According to Turkey’s official health tourism data, the country received over 1.4 million international health tourists in 2023 — a figure that includes a significant proportion of dental patients.
Clinical Volume and Experience
High-volume cosmetic dentistry practices in Istanbul place hundreds of full-arch veneer cases every year. This volume — combined with focused specialisation in cosmetic and aesthetic dentistry — produces the technical consistency that comes only from repeated practice across a wide variety of case types, shades, and anatomies. A dentist who places fifty full-arch veneer cases per year develops a significantly different calibration of aesthetics than one who places ten.
Material Quality Is Identical
International patients sometimes assume that lower cost implies inferior materials. This is incorrect in the context of reputable Istanbul practices. E.max lithium disilicate ceramic is manufactured by Ivoclar Vivadent — a Swiss company — and the same material is used in clinics across Europe, the UK, and North America. The final quality of a porcelain veneer depends on the laboratory technician’s skill and the dentist’s clinical protocol, not the country in which it is placed.
Veneers in Turkey vs UK, Europe, and USA
| Consideration | What It Means for International Patients |
| Material quality | Identical E.max or zirconia material sourced from same global manufacturers |
| Laboratory standards | High-volume specialist labs with established cosmetic dentist relationships |
| Waiting time | Days, not months — no NHS or insurance queue |
| Full-arch treatment timeline | 5–7 days in clinic from consultation to final bonding |
| Digital workflow | DSD, intraoral scanning, CAD/CAM widely available in specialist Istanbul clinics |
| Follow-up after returning home | Requires clear remote contact plan — agreed before bonding appointment |
| Total trip cost including travel | Still lower than UK or German equivalent for most full-arch cases |
For full pricing detail, see the veneers cost page.
For a complete guide to full-arch treatment, see the full set of veneers guide.
Why Istanbul for Veneers?
Istanbul holds the largest concentration of specialist cosmetic dental practices in Turkey, with direct flight access from most major European, Middle Eastern, and North American cities. It is not a coincidence that international dental tourism to Istanbul has grown consistently: the city offers both clinical infrastructure and international patient logistics in a way that smaller Turkish cities do not.
Access to Specialist Cosmetic Dentists
Not every dentist in Istanbul is a cosmetic specialist, and not every cosmetic practice delivers consistent high-quality results. The distinction matters: a dentist whose practice is concentrated on aesthetic cases builds a calibration of colour, shape, and proportion that generalist dentists do not develop at the same pace. Patients should ask specifically about the dentist’s annual volume of full-arch veneer cases before booking.
Digital Dental Workflow
Leading Istanbul cosmetic dental practices operate with digital smile design software, intraoral scanning, and CAD/CAM communication with specialist laboratories. This workflow reduces human error, improves the fit and accuracy of the final restorations, and allows the patient to preview the result before preparation begins — something that significantly reduces post-treatment dissatisfaction.
Travel Convenience
Istanbul Airport connects directly to most major European cities in 2 to 4 hours, to Middle Eastern cities in 2 to 3 hours, and to North American cities via connecting routes. Most international patients require 5 to 7 days in Istanbul for a full-arch veneer case, making the trip practical as a combination of dental treatment and city travel.
How Long Do You Need to Stay in Istanbul?
| Stage | Timing | What Happens |
| Arrival | Day −1 | Check in, orientation, confirm appointment time |
| Consultation & DSD | Day 1 | Full assessment, design preview, shade selection |
| Tooth preparation | Day 1 or 2 | Prep under local anaesthetic, temps fitted |
| Laboratory phase | Day 3–5 | Patient free — lab fabricates final veneers (2–4 days) |
| Final bonding | Day 5 or 6 | Try-in, approval, permanent bonding, bite check |
| Final check | Day 6 or 7 | Bite adjustment if needed, travel clearance |
| Minimum stay | 5–7 days | Sufficient for most full-arch E.max cases |
| Recommended stay | 7–9 days | More comfortable, allows adjustment time |
Is It Safe to Get Veneers in Turkey?
Dental veneers in Turkey are safe when placed by an experienced cosmetic dentist in a properly equipped clinic using established dental materials and a structured follow-up plan. Safety is not a property of the country — it is a property of the clinical system around the patient. The risks associated with veneer treatment itself — tooth sensitivity, gum irritation, veneer fracture, bonding failure — are the same regardless of where treatment takes place. They are managed by clinical skill, material selection, and proper follow-up.
The primary risk specific to receiving dental treatment abroad is inadequate follow-up. A veneer placed in Istanbul can only be adjusted or repaired in Istanbul if the patient is not prepared to manage minor issues at home. Patients should establish a clear remote contact plan before leaving the clinic and identify a local dentist at home who can handle routine checks and minor adjustments.
How to Verify a Dental Clinic in Turkey
To verify a dental clinic in Istanbul, patients should confirm the dentist’s qualification and specialty background, the clinic’s registration with the Turkish Dental Association (TDB), the use of internationally recognised materials (Ivoclar E.max, Vita shade guides, established cement systems), the laboratory’s identity and quality (ask which lab, and whether the dentist can show laboratory documentation), and whether the clinic holds a Health Tourism Authorisation Certificate from the Turkish Ministry of Health.
Warning Signs of an Unsafe Clinic
Red flags include: prices presented without seeing clinical photos; no named dentist or qualification visible before payment; generic “Hollywood Smile” marketing with no clinical specifics; inability to name the laboratory used; no digital smile design offered for full-arch cases; vague or evasive answers about what happens if a veneer fractures after returning home; rushing to confirm dates before a clinical assessment has been completed.
Veneer Risks and Realistic Limitations
Veneers are one of the most predictable cosmetic dental procedures when well selected and well executed, but they carry real limitations that every patient should understand before committing.
| Risk / Limitation | What It Means in Practice |
| Tooth sensitivity | Common for 2–6 weeks after preparation; resolves in most cases |
| Veneer fracture | More common in bruxism patients; managed with a night guard |
| Bonding failure | Rate is low with good enamel preparation and material; fixable without full replacement |
| Gum recession over time | Normal ageing process; margins may become visible; managed with good oral hygiene |
| Irreversibility | Prepared enamel does not regrow; commitment is permanent |
| Colour stability | Porcelain does not stain; adjacent natural teeth may yellow over years |
| Shade mismatch | Risk is eliminated by DSD preview and careful shade selection |
| Result not as expected | Risk reduced by thorough pre-treatment DSD and realistic expectation setting |
What to Do If Something Goes Wrong After You Return Home
Before leaving Istanbul, patients should confirm a direct contact route to the clinic, and identify a local dentist at home who is willing to act as a point of contact for minor issues. Minor adjustments — bite polishing, small chip repair — can be handled locally. Significant bonding failures or fractures should be reported to the placing dentist first, with photographs, before any further treatment is started.
Veneer Aftercare: Protecting Your Investment
Veneers are durable but not indestructible. The behaviours that damage natural teeth — biting nails, using teeth as tools, clenching and grinding, excessive consumption of acidic drinks — will damage veneers more quickly than equivalent natural enamel. Good aftercare is a lifetime commitment, not a one-month precaution.
Step 1: Allow for the Adjustment Period
Most patients notice sensitivity in the prepared teeth for 2 to 6 weeks after bonding. This is a normal response to enamel preparation and resolves as the tooth adapts. If sensitivity is severe, persistent, or accompanied by spontaneous pain, contact the clinic.
Step 2: Maintain Meticulous Oral Hygiene
Veneers do not decay, but the tooth underneath them does. The gum margin around each veneer must be cleaned carefully — twice-daily brushing with a non-abrasive toothpaste, daily interdental cleaning (floss or brushes), and a fluoride mouthwash. Neglecting the gumline around veneers is the most common cause of premature failure in otherwise well-placed cases.
Step 3: Avoid High-Risk Habits
Do not bite nails, pen lids, ice, or other hard objects. Do not use your front teeth as tools. Avoid biting directly into very hard foods with veneered teeth — cut into manageable pieces first. Excessive consumption of staining liquids (coffee, tea, red wine) will not stain E.max porcelain but will stain composite cement margins over time.
Step 4: Wear a Night Guard If Recommended
If your dentist recommends a night guard for bruxism, wear it consistently. Grinding and clenching is the most predictable cause of premature veneer fracture. A custom night guard is a small ongoing cost that preserves a significant investment.
Step 5: Attend Regular Dental Check-Ups
Veneers should be assessed by a dentist at least once a year. The dentist can detect early signs of cement breakdown, gum recession at the margin, or chipping before they become significant problems. Attending check-ups is part of the long-term management of any ceramic restoration.
Step 6: Know When to Call the Clinic
Contact the clinic promptly if: a veneer fractures or feels loose; you notice a new gap at the gumline that was not present before; you develop spontaneous pain in a veneered tooth; or the bite feels uneven after the initial adjustment period. Most issues can be assessed remotely with a photograph before any further action is decided.
How to Plan a Veneer Trip to Istanbul Step by Step
| Day | What Happens | Notes |
| Day −1 | Arrival, transfer to hotel, rest | Arrive at least the evening before Day 1 |
| Day 1 | Consultation, clinical exam, shade selection | Allow 1 hours minimum |
| Day 1–2 | Tooth preparation, impressions/scans, temporaries | Local anaesthetic; 2–4 hours |
| Day 3–5 | Laboratory fabrication — patient free | Explore Istanbul; avoid very hard or sticky foods |
| Day 5–6 | Final bonding appointment | 2–4 hours; bring someone to accompany you |
| Day 6–7 | Final bite check, photography, travel clearance | Confirm remote contact plan with clinic |
| Day 7+ | Return travel | Prefer direct flight where possible |
| After return | Remote follow-up at 2 weeks, 3 months, and 1 year by photo | Agreed before departure |
What to Bring
Bring: identification and travel documents; a list of current medications and any known allergies; previous dental records or X-rays if available (especially if you have crowns, root canals, or implants in the arch being treated); a list of questions for the consultation; comfortable, practical clothing for clinic visits; a soft travel pillow for the return flight if you tend to clench during sleep.Accommodation
Choose accommodation within reasonable distance of the clinic — 15 to 25 minutes maximum. After preparation appointments, patients often experience mild gum tenderness and benefit from being close to their hotel. Most Istanbul clinics can recommend partner accommodation options for international patients.How to Choose the Right Dentist for Veneers in Turkey
Top 7 Things to Verify Before Booking
- Qualification and specialty background — confirm dental degree, postgraduate training in cosmetic or aesthetic dentistry, and professional registration with the Turkish Dental Association.
- Annual volume of veneer cases — ask specifically how many full-arch veneer cases the dentist personally completes per year, not the clinic total.
- Named laboratory — ask which laboratory fabricates the veneers and what the dentist’s working relationship with them is. Vague answers are a warning sign.
- Digital smile design — confirm that DSD is standard in the consultation process, not an optional extra.
- Before-and-after portfolio — request examples across different shade corrections, not just the best three cases. Consistent quality across a range of starting points is the marker of skill.
- Remote follow-up policy — confirm what happens if a veneer fractures, chips, or shows a bonding issue after you have returned home.
- Health Tourism Authorisation Certificate — verify the clinic holds official certification from the Turkish Ministry of Health for treating international patients.
Questions to Ask During Consultation
- How many full-arch veneer cases do you personally complete each year?
- Which laboratory will fabricate my veneers, and can I see examples of their work?
- Will I have a digital smile design preview before any preparation takes place?
- How much tooth preparation will be required for my case?
- What type of veneer do you recommend for my goals, and why?
- What happens if a veneer fractures or the bonding fails after I return home?
- What maintenance will my veneers require, and what should I avoid?
- Will I have a temporary set between preparation and bonding?
| Check | How to Verify |
| Dental degree and qualification | Clinic biography or Turkish Dental Association register (tdb.org.tr) |
| Postgraduate cosmetic training | Clinic website, ask directly for certificate or course evidence |
| Health Tourism Authorisation | Turkish Ministry of Health HealthTürkiye portal |
| Laboratory identity | Ask directly — a confident dentist names their lab |
| Before-and-after portfolio | Website gallery; ask for additional cases matching your starting point |
| Patient reviews | Google Maps, Trustpilot; look for detail about the process, not just the result |
| Remote follow-up policy | Written terms from the clinic before booking |
Who Will Place Your Veneers? About Dr. Emre Arslan
Dr. Emre Arslan is a [QUALIFICATION] specialising in cosmetic and aesthetic dentistry at Best Dental Istanbul. He has completed [X] full-arch veneer cases across [Y] years of focused cosmetic practice, working with Best Dental Laboratory for all ceramic fabrication. Dr. Emre Arslan uses digital smile design as standard for every veneer case, with intraoral scanning and E.max lithium disilicate ceramic from Ivoclar Vivadent as the primary material for most full-arch aesthetic cases.
Qualification and Background
Dr. Emre Arslan holds a [dental degree], with [postgraduate qualification in aesthetic/cosmetic dentistry]. He is registered with the Turkish Dental Association and holds [any additional memberships — e.g. ESCD, European Society of Cosmetic Dentistry, AAED, or equivalent]. [Academic publications or features if applicable.]
Dental Philosophy
Dr. Emre Arslan‘s approach prioritises a natural aesthetic result that complements each patient’s facial proportions rather than imposing a generic “Hollywood Smile” template. Digital smile design is used at every case to allow the patient to preview and approve the planned result before any irreversible preparation takes place. Material selection — E.max for most cases, zirconia where opacity or strength is the primary requirement — is explained at the consultation with the clinical reasoning.
“The result I judge myself on is not the one at the bonding appointment — it is the one at the two-year follow-up. A veneer placed properly, on a well-prepared tooth, with the right bite and the right care instructions, should still look excellent at ten years. That is the standard I work to.”
— Dr. Emre Arslan Cosmetic and Restorative Dentist, Best Dental Istanbul
What International Patients Need to Know
For UK Patients
UK patients typically compare Istanbul on dentist experience, laboratory quality, and the practicality of follow-up. Travel time from London to Istanbul is approximately 4 hours direct, with multiple daily departures from Heathrow, Gatwick, Stansted, and major regional airports. UK patients planning a full-arch case should allow at least 5 to 7 days in Istanbul and confirm a local dentist at home who can handle routine post-treatment checks and any minor adjustments.
For European Patients
European patients from Germany, France, the Netherlands, Scandinavia, and the rest of Western Europe benefit from short flights of 2 to 4 hours from most major cities. Proximity should not substitute for proper dentist evaluation — the same selection criteria apply regardless of how easy the journey is. European patients should also confirm their travel insurance covers dental complications arising from treatment abroad, as standard policies often exclude this.
For Middle Eastern Patients
Middle Eastern patients often value cultural sensitivity, privacy, and an aesthetic approach that respects rather than overrides their existing features. Turkish cosmetic dentistry has significant experience treating patients from Saudi Arabia, the UAE, Qatar, and Kuwait. Istanbul is 2 to 3 hours from most Gulf airports by direct flight.
For North American Patients
North American patients face the longest travel and should plan a minimum stay of 7 to 9 days to allow for the preparation-to-bonding timeline with adequate rest before a long return flight. Remote follow-up arrangements should be confirmed in writing before any preparation appointment takes place. Most North American patients find that even with transatlantic travel costs included, total veneer treatment cost in Istanbul remains significantly lower than equivalent private cosmetic dental treatment at home.
Travel Insurance for Dental Treatment Abroad
Standard travel insurance policies frequently exclude treatment complications arising from elective cosmetic procedures abroad. Patients should review their policy wording carefully before travelling. Some specialist medical tourism insurance providers offer coverage for dental complications following planned treatment abroad — this is worth investigating before committing to any treatment.
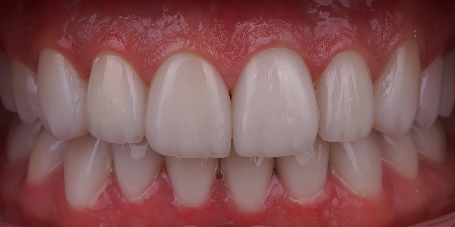
What Do Realistic Veneer Results Look Like?
Before-and-after photography should be evaluated critically. Lighting, camera angle, lip position, and the contrast between wet and dry teeth all affect how veneers appear in photographs. A result that looks impressive in a brightly lit clinical photo in ideal conditions may look different in daily life. Realistic results are characterised by natural translucency, consistency across the arch, appropriate shade for the patient’s skin tone, and a shape that complements the lips and face.
What the Result Looks Like Immediately After Bonding
Immediately after bonding, the veneers will look their most striking because the contrast with the adjacent unprepared surfaces (if any) and the brightness of new ceramic are both at their peak. Some patients experience slight sensitivity for a few days as the cement sets and the prepared teeth adjust. The bite may feel slightly different for a week as the tongue and jaw adapt to the new tooth shapes.
What Settles Over the First 4 to 6 Weeks
In the first 4 to 6 weeks, gum tissue around the margins settles, sensitivity resolves, and the patient fully adapts to the new bite. Any minor bite adjustment that needs to be made should be addressed within the first two weeks. Photography at 6 weeks gives a more representative view of the long-term result than photographs taken immediately after bonding.
Long-Term Appearance
Well-placed E.max veneers maintain their colour, shape, and surface texture for many years. Unlike composite resin, E.max porcelain does not stain. Adjacent natural teeth may yellow slightly over years — patients should be aware of this when deciding which teeth will receive veneers and which will not, to manage long-term colour consistency.
What Patients Say About Their Experience
“I spent three months researching before I booked. Dr. Emre was the only dentist who sent me a digital smile design before I confirmed the appointment. The whole process took 6 days. Two months later they still look completely natural — my colleagues in London think I just whitened my teeth.”
— Sarah T., London, UK — Google Reviews, March 2026
“I was nervous about the preparation part. They explained everything step by step and I felt nothing. The temporaries were beautiful and the final veneers are even better. The team answered every message I sent after I got home.”
— Mohammed A., Dubai, UAE — Google Reviews, January 2026
Common Myths About Veneers in Turkey
Myth 1: “Veneers in Turkey Use Inferior Materials”
False. Reputable Istanbul clinics use the same E.max lithium disilicate ceramic manufactured by Ivoclar Vivadent that is used across Western Europe and North America. Material quality is verifiable — patients can ask to see the material documentation at the consultation.
Myth 2: “All Turkish Clinics Are the Same”
False. Quality varies significantly across Istanbul clinics — just as it does in the UK, Germany, or the US. The patient’s responsibility is to evaluate the individual dentist, laboratory, and protocol, not to make a country-level generalisation. The checklist in this guide provides the specific questions to ask.
Myth 3: “Veneers Are Painless”
Mostly true, but nuanced. The preparation appointment involves local anaesthetic and should cause no pain during the procedure. Post-preparation sensitivity in the days following is common and expected — it is not the same as the kind of pain associated with invasive dental surgery, but it is not zero either.
Myth 4: “No-Prep Veneers Are Always the Better Choice”
False for most patients. No-prep veneers are appropriate only in specific anatomical situations where adding bulk will look natural. For the majority of standard adult arch cases — especially those involving shade correction — no-prep veneers produce a result that looks thick and unnatural. Minimal preparation to create space is the clinically correct approach.
Myth 5: “You Can Fly In and Fly Out in 3 Days”
Not for most full-arch cases. Laboratory fabrication of E.max veneers takes 2 to 4 working days after preparation. Patients who try to compress the timeline pressure the laboratory and risk a result that could have been better with proper time allocation. A 5 to 7 day stay is the appropriate minimum for most full-arch cases.
Myth 6: “Veneers Last Forever”
False, but they are long-lasting with proper care. E.max porcelain veneers have a 10-year survival rate above 93% in specialist cases. With good oral hygiene, a night guard where indicated, and avoidance of high-risk habits, many patients retain their veneers for 15 to 20 years. They are not permanent in the same sense as an implant, but they are far more durable than composite resin.
Myth 7: “You Can Always Get a Revision Later”
Misleading. Veneer replacement is possible but involves re-preparation of the tooth, which reduces the remaining enamel further. Each replacement cycle is more demanding on the tooth structure than the last. Patients should choose their placing dentist as carefully as if there will be no acceptable second chance at the first case.
Veneers in Turkey: Overview at a Glance
| Item | Detail |
| Procedure | Dental veneers — porcelain (E.max) or zirconia |
| Dentist | Dr. Emre Arslan |
| Primary material | E.max lithium disilicate (Ivoclar Vivadent) for most cases |
| Anaesthesia | Local anaesthetic during preparation |
| Number of clinic visits | 2–3 visits within your stay |
| Total stay in Istanbul | 5–7 days minimum; 7–9 days recommended |
| Temporary phase | Yes — temporaries fitted after preparation, worn during lab phase |
| Laboratory turnaround | 2–4 working days for E.max full-arch cases |
| Return to normal eating | Avoid very hard and sticky foods for 2–4 weeks |
| Full settling period | 4–6 weeks for gum and sensitivity to settle fully |
| 10-year survival rate | >93% for E.max porcelain veneers (Journal of Prosthetic Dentistry) |
| Result longevity | 15–20+ years with proper care and maintenance |
| Cost information | Personalised quote after photo assessment — see cost page |
| Full arch guide | See the full set of veneers page for complete arch planning detail |
Full pricing breakdown by case type: veneers cost guide.
Complete guide to full-arch treatment planning: full set of veneers.
Frequently Asked Questions About Veneers in Turkey
Are dental veneers in Turkey safe?
Yes, when placed by an experienced cosmetic dentist using established materials and a structured clinical protocol. The clinical risks of veneer treatment — sensitivity, fracture, bonding failure — are the same worldwide and are managed by clinical skill and material selection. The specific risk of treatment abroad is inadequate follow-up, which is managed by establishing a clear remote contact plan before leaving the clinic.
How long does a full set of veneers take in Istanbul?
Most full-arch E.max cases are completed within 5 to 7 days across 2 to 3 clinic visits. The timeline is determined primarily by laboratory fabrication time — typically 2 to 4 working days after preparation. Patients should plan their stay accordingly and not attempt to compress the timeline.
How many teeth are covered in a full set of veneers?
A “full set” typically refers to the upper arch (8 to 10 teeth) and sometimes the lower arch as well, depending on the patient’s smile line and goals. Some patients treat only the upper arch. The number of teeth is agreed at the digital smile design stage based on which teeth are visible in the patient’s smile. For full detail, see the full set of veneers guide.
Full set of veneers — complete planning guide
Do veneers hurt?
The preparation appointment is carried out under local anaesthetic and should cause no pain during the procedure. Post-preparation tooth sensitivity is common for 2 to 6 weeks and resolves in most cases. The bonding appointment is typically painless. Patients with significant dental anxiety should discuss sedation options at the consultation.
How long do veneers last?
E.max porcelain veneers have a documented 10-year survival rate above 93% in specialist hands. With proper maintenance — good oral hygiene, a night guard where indicated, and avoiding high-risk habits — many patients retain their veneers for 15 to 20 years. Composite resin veneers have a shorter lifespan of approximately 5 to 8 years.
What is the difference between E.max and zirconia veneers?
E.max (lithium disilicate) offers excellent translucency that closely mimics natural enamel, making it the preferred choice for most aesthetic cases. Zirconia is stronger and more opaque, making it appropriate when the underlying teeth are heavily discoloured or when the patient has a history of bruxism. The dentist should recommend the most appropriate material based on clinical assessment, not cost or preference alone.
Can veneers fix crooked teeth?
Veneers can mask minor misalignment and create the appearance of a straighter smile by adjusting tooth shape and position optically. They cannot correct significant orthodontic misalignment involving tooth root position — this requires orthodontic treatment. If the misalignment is significant, the dentist should recommend orthodontics first rather than placing veneers over teeth that are substantially out of alignment.
What is digital smile design?
Digital smile design (DSD) is a consultation process using clinical photographs, measurements, and software to preview the planned veneer result before any preparation takes place. It allows the patient to approve the proposed shape, size, and proportions and request adjustments before the process becomes irreversible. A specialist cosmetic dentist should offer DSD as standard for any full-arch case.
How much do veneers cost in Turkey?
Cost depends on the number of teeth, the type of veneer material, the dentist’s experience, and the laboratory quality. For a full breakdown of pricing, what is included, and how Istanbul compares to other countries, see the dedicated veneers cost guide.
Veneers in Turkey — full cost guide
What happens if a veneer breaks after I return home?
Contact the clinic with photographs before taking any action. Minor chips on composite or the cement margin can often be repaired locally. Fractures of the porcelain itself typically require a replacement veneer, which involves returning to Istanbul or arranging treatment locally — the clinical decision depends on the severity. A clear remote contact plan should be agreed with the clinic before leaving.
Can I eat normally with veneers?
Yes, but with some adjustments. Patients should avoid biting into very hard foods with front veneered teeth (bread crusts, hard fruit, bones, ice) and should not use their teeth as tools. Otherwise normal eating resumes after the initial adjustment period. The permanent diet adjustment is minimal compared to what composite or crown-based alternatives would require.
Will my veneers look natural?
E.max porcelain veneers, when placed by an experienced cosmetic dentist with good laboratory support, should look completely natural in everyday interaction. The translucency of the ceramic, combined with careful shade matching and digital smile design, produces results that colleagues and family typically do not identify as dental work — only as a noticeably better smile.
How do I book a consultation?
Send recent photographs of your smile — ideally front-on, full smile, and a relaxed lip position — along with a brief description of your goals. The clinic will respond with an initial assessment of your suitability, a recommended veneer type, and a personalised quote. WhatsApp is the most direct contact route for international patients.



How to Book Your Veneer Consultation at Best Dental Istanbul
Step 1: Send Your Smile Photos
Send recent, clear photographs: front-facing full smile, relaxed lips (closed and slightly open), and a three-quarter view if possible. Good photos allow a meaningful initial assessment of tooth colour, shape, gum levels, and the number of teeth that will be treated.
Step 2: Receive Your Assessment
The clinic responds with an honest assessment of suitability, recommended veneer type, expected number of teeth, and a personalised price range. This is not a substitute for a full in-person consultation but gives both parties enough information to decide whether to proceed.
Step 3: Confirm Dates and Travel Plan
Once you decide to proceed, treatment dates are confirmed, travel timing is planned, and accommodation guidance is provided. All details are confirmed in writing before any payment is made.
Step 4: Arrive for Your Consultation and Treatment
Arrive at least the evening before your first clinic appointment. The consultation on Day 1 confirms the full treatment plan and preparation is scheduled for the same day or Day 2.
Contact Options
Contact the clinic by WhatsApp, email, or through the contact form on the website. WhatsApp is generally the fastest channel for international patients and allows you to send photographs directly.
About This Article
Clinical Author and Reviewer
This article was written and clinically reviewed by Dr. Emre Arslan, cosmetic and restorative dentist at Best Dental Istanbul. He has completed [X] full-arch veneer cases over [Y] years of focused cosmetic dental practice. [Add any published work or professional recognition if applicable.]
Editorial Standards
This article follows editorial standards for medical and dental content on patient-facing health pages. All clinical claims are supported by peer-reviewed sources or official institutional data. No unsupported guarantees are made about treatment outcomes.
Last Updated
April 2026. Clinical data, procedural information, and survival rate statistics are reviewed and updated at least every six months.
Sources Cited in This Article
- Layton D, Wallis M. Five-year clinical performance of 736 porcelain veneers. Journal of Prosthetic Dentistry. 2007;97(2):96–102.
- Peumans M, et al. Porcelain veneers: a review of the literature. Journal of Dentistry. 2000;28(3):163–177.
- Beier US, et al. Clinical performance of porcelain laminate veneers for up to 20 years. International Journal of Prosthodontics. 2012;25(1):79–85.
- Turkish Ministry of Health. Health Tourism in Turkey — Official Statistical Report, 2023. saglik.gov.tr
- International Society of Aesthetic Dentistry (ISAD). Global Aesthetic Dentistry Survey, 2022. isad.com
- Ivoclar Vivadent. IPS e.max — Clinical and Scientific Documentation. ivoclar.com
Medical Disclaimer: This article is written for general educational purposes and does not constitute personalised dental or medical advice. All veneer cases are individual. Patients should consult directly with a qualified dental specialist for an assessment based on their specific oral health, anatomy, and goals.
Written and clinically reviewed by
Cosmetic Dentist · 10+ years experience · Gazi University · Best Dental Istanbul
Last updated
Appendix A: Internal Link Map
Every internal link placed in the pillar article above, with its target URL and anchor text. URLs marked EXISTING point to pages already live on bestdentalistanbul.com. URLs marked BUILD are recommended cluster pages to create.
| # | Section in Pillar | Anchor Text | Target URL | Status |
| 1 | Why Patients Choose Turkey | veneers cost page | /veneers-cost/ | EXISTING |
| 2 | Why Patients Choose Turkey | full set of veneers guide | /full-set-of-veneers/ | EXISTING |
| 3 | Overview at a Glance | veneers cost guide | /veneers-cost/ | EXISTING |
| 4 | Overview at a Glance | full set of veneers | /full-set-of-veneers/ | EXISTING |
| 5 | FAQ — How many teeth | full set of veneers guide | /full-set-of-veneers/ | EXISTING |
| 6 | FAQ — How much do veneers cost | veneers in Turkey cost guide | /veneers-cost/ | EXISTING |
| 7 | Types of Veneers | porcelain veneers guide | /porcelain-veneers-turkey/ | BUILD |
| 8 | Types of Veneers | composite veneers Turkey | /composite-veneers-turkey/ | BUILD |
| 9 | Aftercare section | veneer aftercare guide | /veneers-aftercare/ | BUILD |
| 10 | Realistic Results section | veneer before and after gallery | /veneers-before-after/ | BUILD |
| 11 | International Patients — UK | veneers Turkey for UK patients | /veneers-turkey-uk-patients/ | BUILD |
| 12 | Types: zirconia section | zirconia veneers guide | /zirconia-veneers-turkey/ | BUILD |
Appendix B: Recommended New Cluster Pages
Six new cluster pages should be built and published in three waves over 90 days. Each wave matches a level of search intent priority. After each wave, activate the corresponding internal links in the pillar article. Do not leave dead links pointing to unpublished pages — each link is activated only after its target returns 200.
Wave 1 — First 30 days (commercial intent, highest conversion value)
- Cluster 3: Porcelain Veneers Turkey — /porcelain-veneers-turkey/
- Cluster 6: Veneers Before and After Gallery — /veneers-before-after/
Wave 2 — Days 30 to 60 (trust + practical)
- Cluster 4: Composite Veneers Turkey — /composite-veneers-turkey/
- Cluster 7: Veneers Turkey for UK Patients — /veneers-turkey-uk-patients/
Wave 3 — Days 60 to 90 (niche + aftercare)
- Cluster 5: Veneer Aftercare Guide — /veneers-aftercare/
- Cluster 8: Zirconia Veneers Turkey — /zirconia-veneers-turkey/
Appendix C: Cluster Publication Order
Cluster 3: Porcelain Veneers Turkey
| Field | Detail |
| URL | /porcelain-veneers-turkey/ |
| H1 | Porcelain Veneers in Turkey 2026: E.max, Process & Results |
| Primary keyword | porcelain veneers Turkey |
| Search intent | Commercial — patient comparing material types |
| Content scope | E.max vs zirconia in depth, shade selection, laboratory quality, 10-year data, candidacy for porcelain specifically |
| Word count target | 3,000–4,000 |
| Link from pillar | Types of Veneers — E.max section |
Cluster 4: Composite Veneers Turkey
| Field | Detail |
| URL | /composite-veneers-turkey/ |
| H1 | Composite Veneers in Turkey: What They Are, Who They Are For, and Their Limits |
| Primary keyword | composite veneers Turkey |
| Search intent | Commercial / informational — budget-conscious or limited correction patient |
| Content scope | Direct vs indirect composite, lifespan vs porcelain, single-visit vs multi-visit, when composite is the right choice and when it is not |
| Word count target | 2,500–3,500 |
| Link from pillar | Types of Veneers — composite section |
Cluster 5: Veneer Aftercare Guide
| Field | Detail |
| URL | /veneers-aftercare/ |
| H1 | Veneer Aftercare: Complete Guide to Protecting Your Veneers Long-Term |
| Primary keyword | veneer aftercare |
| Search intent | Informational — post-treatment patient |
| Content scope | Day-by-day first 6 weeks, long-term hygiene routine, foods to avoid, night guard guidance, what to do if a veneer chips, annual review schedule |
| Word count target | 3,000–4,000 |
| Link from pillar | Aftercare section |
Cluster 6: Veneers Before and After Gallery
| Field | Detail |
| URL | /veneers-before-after/ |
| H1 | Veneers Before and After: Real Patient Results at Best Dental Istanbul |
| Primary keyword | veneers before and after |
| Search intent | Visual / commercial |
| Content scope | Categorised gallery by case type (discolouration, gaps, wear, shape), how to interpret B&A photos honestly, what DSD preview looks like versus final result |
| Word count target | 2,000–3,000 plus rich visual content |
| Link from pillar | Realistic Results section |
Cluster 7: Veneers Turkey for UK Patients
| Field | Detail |
| URL | /veneers-turkey-uk-patients/ |
| H1 | Veneers in Turkey for UK Patients: Travel, Process & What to Expect |
| Primary keyword | veneers Turkey UK |
| Search intent | Practical — UK patient planning a trip |
| Content scope | Flight options, travel insurance, NHS vs private comparison, what to tell your UK dentist on return, remote follow-up, realistic total cost including travel |
| Word count target | 3,000–4,000 |
| Link from pillar | International Patients — UK section |
Cluster 8: Zirconia Veneers Turkey
| Field | Detail |
| URL | /zirconia-veneers-turkey/ |
| H1 | Zirconia Veneers in Turkey: Strength, Opacity, and When to Choose Them |
| Primary keyword | zirconia veneers Turkey |
| Search intent | Niche commercial — bruxism patient or heavy discolouration case |
| Content scope | Zirconia vs E.max in depth, opacity advantage, strength data, candidacy criteria, bruxism management alongside veneers, cost difference |
| Word count target | 2,500–3,500 |
| Link from pillar | Types of Veneers — zirconia section |
Appendix D: Pre-Publish Checklist
Verify all of the following before publishing the pillar article live.
- Confirm Dr. Emre Arslan qualification, credentials, and title are accurate and current
- Confirm Best Dental Istanbul Health Tourism Authorisation Certificate is current
- Confirm the veneer case volume figure is accurate
- Verify laboratory name and partnership details are current
- Verify all peer-reviewed citation DOIs resolve correctly
- Confirm /veneers-cost/ returns 200 and content is current
- Confirm /full-set-of-veneers/ returns 200 and content is current
- Update ‘Last updated: April 2026’ to publication month if different
- Map all FAQ items into FAQPage JSON-LD schema before publishing
- Map 6-step Aftercare into HowTo JSON-LD schema
- Map Top 7 Verification checklist into ItemList schema
- Map About Dr. Emre Arslan section into Dentist / Physician schema
- Build MedicalBusiness schema for Best Dental Istanbul
- Build SpeakableSpecification for Quick Answer block
- Add medically_reviewed metadata for E-E-A-T signal
- Confirm all photo placeholders are replaced with real, consented photography before publishing
- Confirm all brackets are filled — none should remain live on the published page
Appendix E: Editorial Note — Brand Voice and Price Strategy
The Positioning Decision
Best Dental Istanbul is positioned as a premium specialist cosmetic dental practice — not as a budget dental tourism destination. Every editorial decision on this page should reinforce that. This includes what is not said in the first 50 words: the Quick Answer leads with clinical credentials, timeline, and peer-reviewed survival data, not with a price range.
Where Cost Information Lives
- FAQ section: ‘How much do veneers cost?’ answers with context and links to the cost page
- Cost page (/veneers-cost/): full per-tooth and per-arch breakdown, what is included, hidden costs, deposit policy
- Personalised quotes: only after photo assessment by the dentist — never as a generic listed price
Words to Avoid Throughout
The following phrases signal price-comparison intent and weaken premium positioning. They should not appear in the pillar article:
- ‘Cheap’ / ‘cheapest’ / ‘cheaper than’
- ‘Affordable’ / ‘affordability’
- ‘Budget veneers’ / ‘budget-friendly’
- ‘Best price’ / ‘lowest price’ / ‘starting from’
- ‘All-inclusive package’ (acceptable in cost cluster only)
- Direct competitor price comparisons in any form
Words That Reinforce Premium Positioning
- ‘Specialist cosmetic dentist’ / ‘specialist focus’
- ‘Digital smile design’ / ‘digital workflow’
- ‘Ivoclar E.max’ / ‘internationally sourced materials’
- ‘Personalised quote after photo assessment’
- ‘Honest assessment’ / ‘realistic expectations’
- ‘Health Tourism Authorisation Certificate’
- ‘Established laboratory relationship’
- ‘Long-term result’ / ‘15 to 20 year lifespan’
Written and clinically reviewed by
Cosmetic Dentist · 10+ years experience · Gazi University · Best Dental Istanbul
Last updated
Book Your Veneers Consultation Today
Transform your smile with dental veneers in Turkey at Best Dental Istanbul. Our team is ready to help you achieve the confident, radiant smile you deserve.
📞 Contact us today for a free online consultation and personalized treatment plan.