Orthodontic Treatments in Turkey
Straighten Your Smile with Expert Orthodontics in Istanbul
At Best Dental İstanbul, we specialize in advanced orthodontic treatments that help patients of all ages achieve a healthy, straight, and confident smile. Whether you need traditional braces or modern clear aligners, our experienced orthodontists provide personalized care in the heart of Istanbul, Turkey.


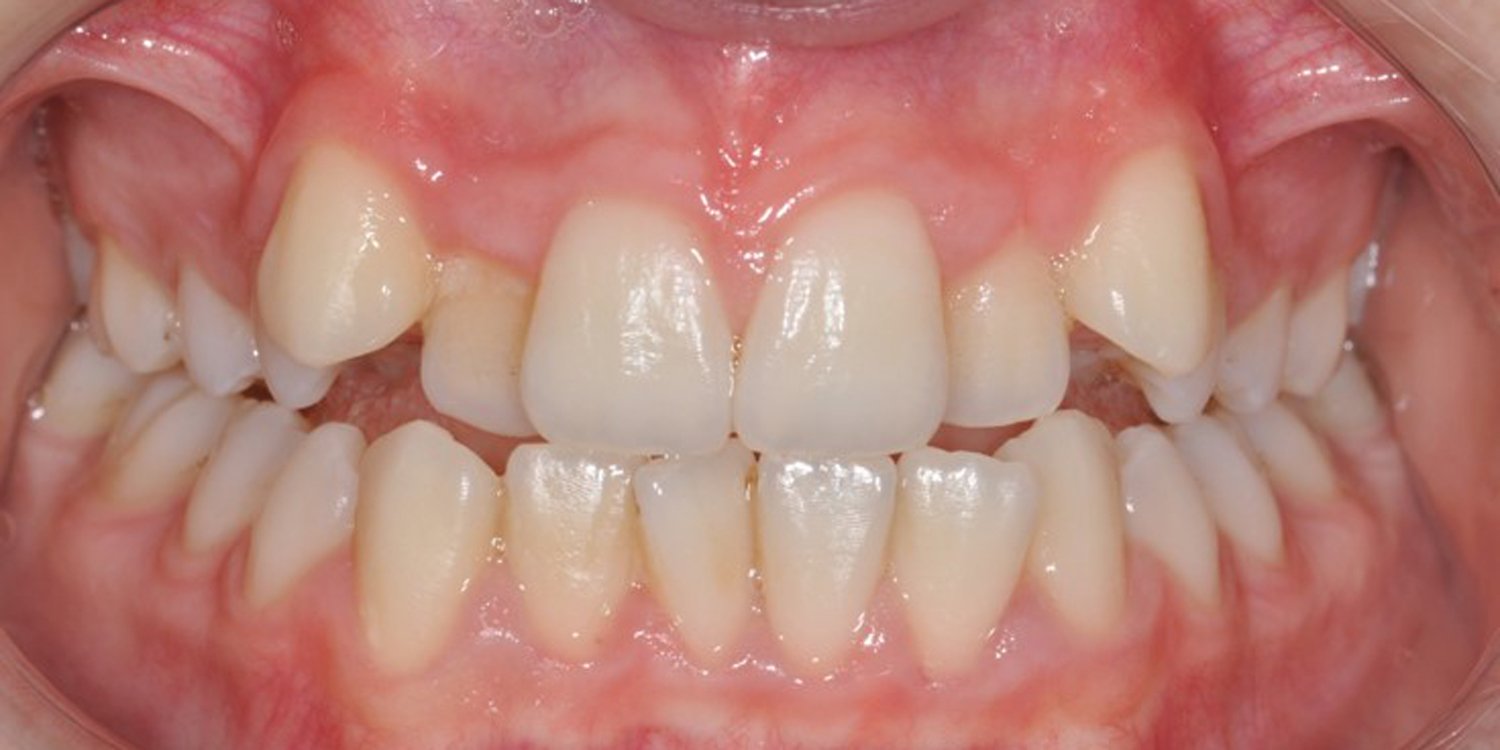
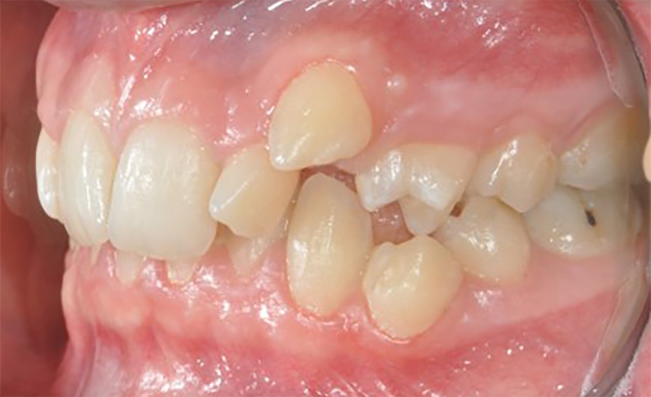
Orthodontics is the specialty of dentists who have been trained to correct the disorder of the tooth structures that are different and crooked than the normal tooth structure should be. Orthodontic treatment is a treatment method that examines the mouth, teeth, and head structure in order to correct this problem, in case the normal tooth structure is different and crooked than it should be, and corrects the perplexed tooth problems in the teeth, allowing the person to get the teeth they want.
Why Choose Orthodontic Treatment in Turkey?
Turkey has become one of the most preferred destinations for dental care due to:
Affordable Prices: Orthodontic treatments in Turkey cost up to 70% less compared to the UK, USA, or Europe.
Expert Orthodontists: Highly qualified specialists with years of experience in cosmetic and functional orthodontics.
Latest Technology: Digital 3D scans, advanced braces, and clear aligner systems.
Comprehensive Dental Tourism Services: Airport transfers, hotel accommodation, and multilingual patient coordinators.
Best Dental İstanbul combines world-class expertise with Turkish hospitality to give you the best orthodontic journey.
Our Orthodontic Treatments
We offer a wide range of orthodontic solutions tailored to your dental needs and lifestyle:
1. Metal Braces
The most traditional and reliable option.
Strong, durable, and effective for complex cases.
Regular check-ups to adjust and align teeth properly.
2. Ceramic Braces
Tooth-colored brackets for a more aesthetic appearance.
Blend naturally with your teeth.
Popular among teens and adults who want discreet treatment.
3. Lingual Braces
Placed on the inner side of the teeth, making them invisible from the outside.
Customized to fit each patient’s smile.
4. Clear Aligners (Invisalign & Other Brands)
Transparent, removable aligners.
Comfortable, discreet, and easy to maintain.
Ideal for adults and professionals who prefer invisible orthodontics.
5. Retainers
Essential after braces or aligners to maintain your perfect smile.
Both fixed and removable options available.



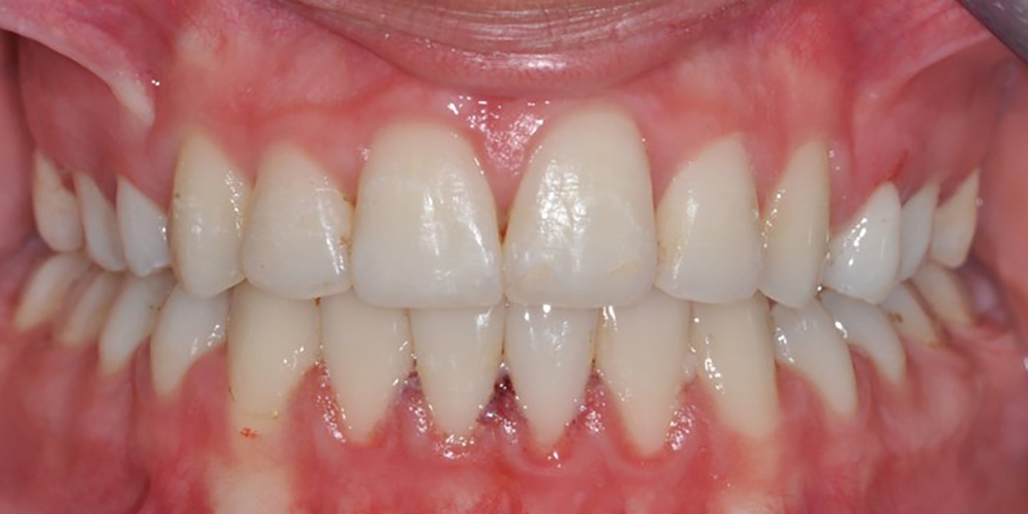
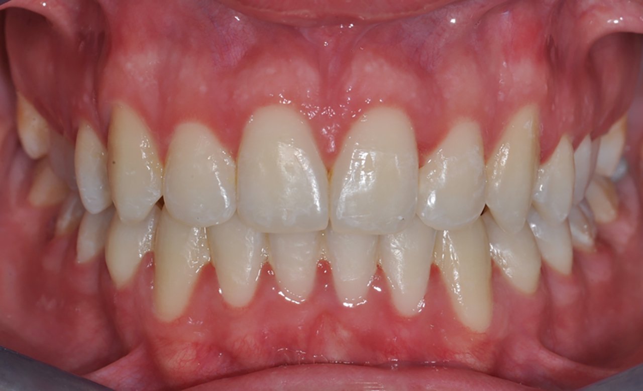
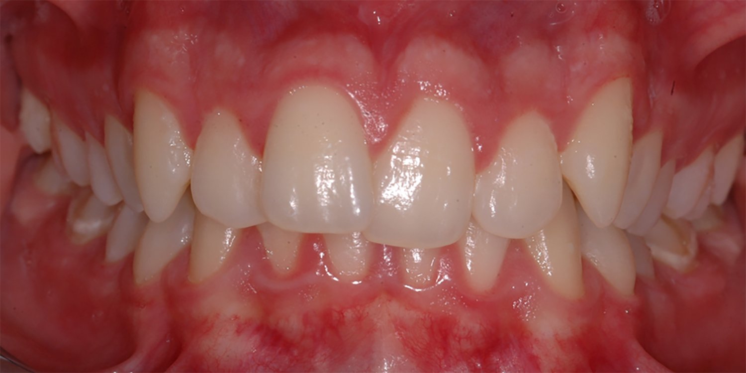
Benefits of Orthodontic Treatment
Improved dental function (chewing, speaking, and bite correction).
Enhanced smile aesthetics and confidence.
Easier oral hygiene and reduced risk of gum disease.
Long-term dental health and jaw alignment.
Orthodontic Treatment Process in Turkey
Free Online Consultation – Send your dental photos or X-rays.
Personalized Treatment Plan – Our orthodontists prepare a step-by-step approach.
Travel & Arrival in Istanbul – We assist with transfers and accommodation.
Clinical Examination & Start of Treatment – Braces or aligners are placed.
Follow-up Appointments – Depending on the type of treatment, you may need multiple visits.
Retention Phase – Retainers are provided to ensure long-term results.




Cost of Orthodontic Treatments in Turkey
Metal Braces: Starting from €1,200
Ceramic Braces: Starting from €1,500
Lingual Braces: Starting from €2,500
Clear Aligners (Invisalign): Starting from €1,800
(Prices vary depending on case complexity and duration of treatment.)
Compared to Europe or North America, you can save up to 60–70% without compromising on quality.


Why Choose Best Dental İstanbul?
Board-certified orthodontists with international experience.
State-of-the-art dental clinic located in central Istanbul.
Personalized care with English-speaking staff.
All-inclusive dental tourism packages.
High patient satisfaction and 5-star reviews.


Book Your Orthodontic Consultation Today
Take the first step towards a straighter, healthier smile with Best Dental İstanbul. Contact us today for a free online consultation and personalized treatment plan.
✨ Your dream smile is just one flight away – discover world-class orthodontics in Turkey with Best Dental İstanbul.
FAQs About Orthodontic Treatments in Turkey
What types of orthodontic treatments are available in Turkey?
Turkey offers a wide range of orthodontic treatments, including traditional metal braces, ceramic braces, lingual braces (behind the teeth), and clear aligners like Invisalign. Modern clinics use advanced technology to provide efficient, comfortable, and aesthetic treatment options tailored to each patient.
How much do orthodontic treatments cost in Turkey?
Orthodontic treatment costs in Turkey are generally more affordable compared to many Western countries. Prices depend on the type of treatment, duration, and clinic location. On average, metal braces can cost between €1,000–€2,500, while clear aligners may range from €1,500–€3,500.
Is orthodontic treatment in Turkey safe?
Yes, orthodontic treatments in Turkey are safe when performed by qualified and experienced orthodontists. Many clinics follow international standards, use modern sterilization protocols, and employ the latest dental technology to ensure patient safety.
How long does orthodontic treatment take in Turkey?
Treatment duration depends on the complexity of the case. On average, it ranges from 12 to 36 months. Some advanced techniques and clear aligner treatments may shorten the treatment time. Your orthodontist will provide a personalized timeline during consultation.
Do I need to schedule multiple visits for treatment in Turkey?
Yes, initial consultation and periodic adjustments are required. However, some clinics offer packages for international patients, combining multiple visits efficiently. For clear aligners, patients may receive multiple sets to reduce the number of in-person appointments.
Can international patients get orthodontic treatment in Turkey?
Absolutely! Turkey is a popular destination for dental tourism, offering high-quality orthodontic care at competitive prices. Many clinics provide services in English, assistance with accommodation, transportation, and even airport transfers.
What should I consider before choosing an orthodontic clinic in Turkey?
Before selecting a clinic, check the orthodontist’s qualifications, experience, patient reviews, and the clinic’s technology and hygiene standards. Transparent pricing, treatment planning, and aftercare services are also important factors.
Are follow-up appointments needed after treatment?
Yes, after completing orthodontic treatment, follow-up appointments are necessary to monitor stability and fit retainers. Many clinics provide remote consultations for international patients to ensure ongoing care.
Does dental insurance cover orthodontic treatments in Turkey?
Most local and international dental insurance plans may not cover orthodontic treatment in Turkey. However, the overall cost is usually lower than in other countries, making treatment affordable even without insurance.
How do I book an orthodontic consultation in Turkey?
Booking a consultation is simple. You can contact the clinic via email, phone, or through their website. Many clinics offer virtual consultations for international patients, allowing you to discuss your needs and get a treatment plan before traveling.
