Diş Beyazlatma
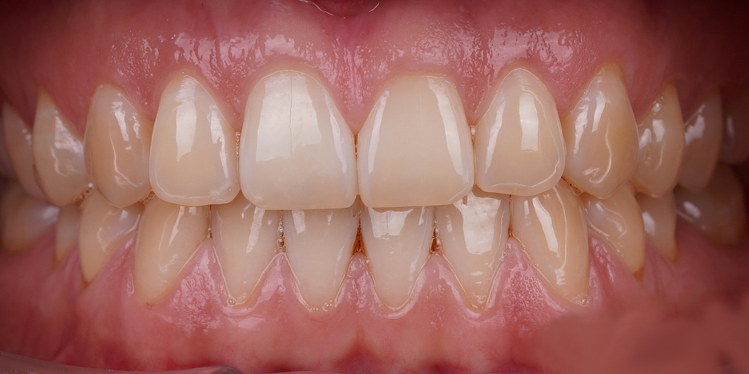
İnsanlarda diş rengi deri renginden farklıdır. Bazı insanlar beyaz dişlerle doğar, bazıları ise ne yazık ki daha sarı dişlere sahiptir. Ayrıca hamilelikte veya çocukken kullanılan bazı antibiyotikler nedeniyle annenin dişleri koyulaşabilir.
Türkiye’de diş beyazlatma ile birçok nedenden dolayı siyahlaşan dişleri daha beyaz ve daha parlak hale getirmek artık basit bir işlemle mümkün. Diş beyazlatma, diş minesinin gözenekli yapısında oluşan renkli organik ve inorganik maddelerin çeşitli nedenlerle değişen bazı renk tonlarını açmak için diş beyazlatma jeli kullanılarak veya dişlerin kişiye özel hale getirilmesi işlemidir.


Diş Beyazlatma Nedir?
Diş beyazlatmanın iki farklı yöntemi vardır. Bazen sadece biri uygulanabileceği gibi bazı durumlarda her ikisi birden uygulanabilir. Türkiye’de diş beyazlatma‘da aynı anda iki yöntem uygulanabilir. Evde beyazlatma yöntemini evde kendiniz uygulayabilirsiniz. Dişlerin üzerine bukkal büyüklüğünde pürüzsüz, şeffaf ince bir plak hazırlanır. Doktor tarafından enjekte edilen şırınga şeklindeki jel ilaç, plakaya sıkılır, ağza sokulur ve kişinin kendisi tarafından uygulanır. Günde 2-4 saat diş plağını uygulayın, genellikle 1 hafta içinde diş dokusunun yeterli beyazlamasını sağlayabilirsiniz. Bu süreyi uzatıp kısaltarak beyazlatma miktarı ayarlanabilmektedir. Ofis beyazlatma yöntemi en çok diş beyazlatma işlemini kısa sürede gerçekleştirmek isteyen kişiler için uygundur ve etkisi daha iyidir. Dişlerdeki zorluklar ve can sıkıcı kalıntılar bu yöntemle bir veya birden fazla tedavi gerektirebilir.
Diş Beyazlatma Türleri
Diş beyazlatma, dişlerin doğal rengini açmak ve lekeleri gidermek için uygulanan estetik diş hekimliği yöntemidir. Farklı ihtiyaç ve tercihlere göre çeşitli beyazlatma yöntemleri bulunmaktadır.
1. Ofis Tipi (Klinik) Diş Beyazlatma
Uygulama yeri: Diş kliniğinde diş hekimi tarafından yapılır.
Avantajları: Hızlı sonuç verir, güçlü beyazlatma sağlar.
Süre: Genellikle 1–2 seansta tamamlanır.
Kullanım: Genellikle yoğun lekeler veya kısa sürede estetik sonuç isteyen hastalar için uygundur.
2. Ev Tipi (Kişiye Özel) Diş Beyazlatma
Uygulama yeri: Evde, diş hekiminin verdiği kişiye özel plak ve beyazlatıcı jel ile uygulanır.
Avantajları: Daha kontrollü ve hassas bir beyazlatma sağlar.
Süre: Günlük uygulamalarla 1–2 hafta içinde sonuç verir.
Kullanım: Hassas dişlere sahip veya ofis tipi beyazlatmayı tamamlayıcı olarak kullanılabilir.
3. Lazer ile Diş Beyazlatma
Uygulama yeri: Klinik ortamında yapılır.
Avantajları: Çok hızlı ve etkili sonuç verir, özellikle derin lekelerde etkilidir.
Süre: Genellikle tek seansta belirgin fark yaratır.
Kullanım: Hızlı ve kalıcı beyazlatma isteyen hastalar için uygundur.
4. Diş Macunu ve Over-the-Counter (Reçetesiz) Ürünler
Uygulama yeri: Evde kullanılır.
Avantajları: Uygun fiyatlıdır, günlük kullanım kolaydır.
Süre: Düzenli kullanımda hafif beyazlama sağlar.
Kullanım: Hafif lekeler ve sararmalar için uygundur, profesyonel beyazlatma kadar etkili değildir.
5. Kombine Yöntemler
Ofis tipi beyazlatma sonrası ev tipi plaklarla desteklenen yöntemler, daha kalıcı ve etkili sonuçlar sağlar.
📝 Dikkat Edilmesi Gerekenler
Beyazlatma tedavisi öncesi diş ve diş etlerinin sağlıklı olması gerekir.
Aşırı hassasiyet veya diş eti sorunları olan kişilerde hekimin önerisine göre uygulama yapılmalıdır.
Beyazlatma işlemi düzenli olarak tekrarlanabilir, ancak aşırıya kaçılmamalıdır.
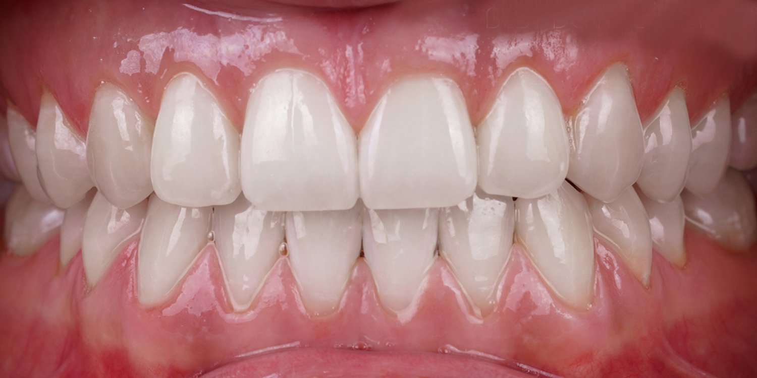
✨ Sonuç: Diş beyazlatma yöntemleri, ihtiyacınıza ve diş yapınıza uygun şekilde seçildiğinde hem estetik hem de güvenli bir şekilde uygulanabilir. Profesyonel diş hekimi kontrolünde yapılması, sağlıklı ve uzun ömürlü sonuçlar için önemlidir.



Profesyonel Diş Beyazlatmanın Faydaları
Kahve, çay, tütün ve yaşlanmanın neden olduğu derin lekeleri giderir.
Uzman diş hekimleri gözetiminde güvenli bir işlemdir.
Tek seansta gözle görülür iyileşme ile hızlı sonuçlar.
Işıltılı bir gülümsemeyle özgüveni artırır.
Yurtdışındaki tedavilere kıyasla uygun fiyatlıdır.
Diş Beyazlatma İşlemi Aşamaları
İlk Konsültasyon – Muayene ve renk değerlendirmesi.
Hazırlık – Diş etlerinin özel bir bariyerle temizlenmesi ve korunması.
Uygulama – Profesyonel beyazlatma jeli uygulanır.
Aktivasyon – Lazer veya LED ışık işlemi hızlandırır.
Sonuçlar – Dişler yaklaşık 45-60 dakika içinde 4-8 ton açılır.


Diş Beyazlatmanın Maliyeti Ne Kadardır?
Best Dental İstanbul’da profesyonel diş beyazlatma fiyatları, seçilen tedavi türüne bağlı olarak 200-250 €’dan başlıyor. Bu, kaliteden ödün vermeden, İngiltere veya ABD’deki fiyatlara kıyasla %70’e kadar daha ucuz.








Neden Best Dental İstanbul?
İstanbul’un kalbinde son teknoloji diş kliniği
Uluslararası hastalar için çok dilli personel
Sterilize edilmiş ve güvenli ortam
Uygun fiyatlı, şeffaf fiyatlandırma
5 yıldızlı diş turizmi hizmetleri




Diş beyazlatma için hazır mısınız?
Lekeli veya rengi bozulmuş dişlerin gülümsemenizi engellemesine izin vermeyin. Best Dental İstanbul'da profesyonel diş beyazlatmayı uygun fiyatlı, güvenli ve erişilebilir hale getiriyoruz.
Diş Beyazlatma Hakkında Sıkça Sorulan Sorular (SSS)
Diş beyazlatma nedir?
Diş beyazlatma, dişlerin doğal rengini açmak ve lekeleri gidermek için uygulanan estetik diş hekimliği yöntemidir. Hem klinikte hem de evde uygulanabilen farklı yöntemleri vardır.
Diş beyazlatma herkese uygun mudur?
Çoğu kişi için uygundur, ancak dişlerde çürük, hassasiyet veya diş eti hastalıkları varsa önce bu sorunların tedavi edilmesi gerekir. Ayrıca hamile ve emziren kadınlarda genellikle önerilmez.
Diş beyazlatma ağrılı mıdır?
Hayır. Klinik ve ev tipi beyazlatma genellikle ağrısızdır. Ancak bazı kişilerde kısa süreli hassasiyet veya diş eti rahatsızlığı görülebilir, bu normaldir.
Diş beyazlatma ne kadar sürer?
Ofis tipi beyazlatma: Genellikle 1–2 saatlik tek seansta belirgin fark sağlar.
Ev tipi beyazlatma: Günlük uygulamalarla 1–2 hafta içinde sonuç verir.
Kombine yöntemler: Klinik seans sonrası ev tipi plaklarla desteklenen uygulama, kalıcı ve etkili sonuç sağlar.
Diş beyazlatmanın etkisi ne kadar sürer?
Sonuçların süresi, diyet, ağız hijyeni ve yaşam tarzına bağlıdır. Düzenli diş temizliği ve bazı durumlarda tekrar uygulamalar ile beyazlık 1–3 yıl korunabilir.
Diş beyazlatma dişleri zarar verir mi?
Profesyonel ve kontrollü uygulamalar dişlere zarar vermez. Aşırı kullanım veya yanlış ürünler hassasiyete veya mine aşınmasına yol açabilir.
Diş beyazlatma sonrası nelere dikkat etmeliyim?
İşlem sonrası 24–48 saat çay, kahve, kırmızı şarap ve sigara gibi lekelenmeye yol açan gıdalardan kaçının.
Düzenli fırçalama ve diş ipi kullanın.
Hassasiyet devam ederse diş hekiminize danışın.
Hangi yöntem daha etkilidir?
Ofis tipi beyazlatma: Hızlı ve güçlü sonuç verir.
Ev tipi beyazlatma: Daha kontrollü ve hassas bir yöntemdir.
Kombine yöntemler: En kalıcı ve estetik sonuçları sağlar.
Çocuklar da diş beyazlatma yaptırabilir mi?
Genellikle 16 yaş altındaki çocuklara beyazlatma önerilmez. Öncelikle süt dişleri ve daimi dişlerin durumu değerlendirilmelidir.
Diş beyazlatma estetik mi, yoksa fonksiyonel bir tedavi midir?
Diş beyazlatma esas olarak estetik bir tedavidir. Dişlerin rengini açar ve gülüş estetiğini artırır; fonksiyonel bir iyileştirme sağlamaz.
Diş beyazlatma, uzman diş hekimi kontrolünde uygulandığında güvenli, etkili ve estetik bir yöntemdir. Hem kısa sürede gözle görülür sonuçlar elde edebilir hem de uzun vadede sağlıklı ve parlak bir gülüşe sahip olabilirsiniz.
